نوبت گیری اینترنتی

ایجاد حساب کاربری
قبلا ثبت نام کرده اید؟ وارد شوید / فراموشی رمز عبور
فراموشی رمز عبور

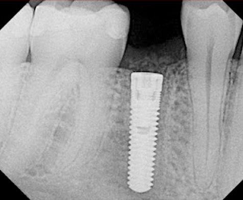
ايمپلنت مجموع قطعاتي است که با جراحي داخل فک ثابت مي شوند روي آن دندان مصنوعي قرار مي گيرد و در نهايت ظاهري مشابه با دندان طبيعي پيدا مي کند. به طور کلي براي گذاشتن ايمپلنت چندين مرحله بايد انجام شود تا قطعات تشکيل دهنده در کنار يکديگر قرار گيرند و بيمار بتواند به جاي دندان طبيعي از آن استفاده کند.

ايمپلنت

توضيح ساده و مختصر ايمپلنت براي بيماران را مي توان با اين جمله "رفتم ايمپلنت گذاشتم" شروع کنيم. اين جمله دو معني مي تواند داشته باشد:

  • اول به اين معني است که دندانپزشک قطعه اول ايمپلنت يعني فيکسچر را در داخل استخوان فک بيمار قرار داده و هنوز جاي دندان طبيعي خالي مي باشد. در اين حالت بيمار بايد دو الي سه ماه صبر کند تا فيکسچر با استخوان فک پيوند برقرار کند و سپس مراحل بعدي انجام شود.
    ايمپلنت
  • دوم يعني دندانپزشک فيکسچر را در استخوان فک قرار داده است و بعد از گذشت دو الي سه ماه، قطعه دوم ايمپلنت را که هيلينگ نام دارد روي فيکسچر بسته تا در اطراف آن لثه شکل بگيرد. سپس قطعه سوم (اباتمنت) به همراه دندان چيني (ساخته شده توسط دندان ساز) که تکميل کننده ايمپلنت مي باشد، به جاي هيلينگ قرار مي گيرد. دندانپزشک دندان چيني را روي اباتمنت مي چسباند. در اين زمان بيمار مي تواند همانند دندان طبيعي از دندان مصنوعي خود استفاده کند.
    ايمپلنت ايمپلنت

ايمپلنت دنداني براي جايگزين کردن يک يا چندين دندان از دست رفته کاربرد دارد و مي تواند براي تمام دندان ها به صورت ثابت يا متحرک استفاده شود. در هر دو حالت فوق کلمه ايمپلنت استفاده مي شود اما حالت دوم بيانگر معني واقعي ايمپلنت مي باشد و به مجموعه اي از قطعات ايمپلنت گفته مي شود و هر کدام از قطعات به تنهايي نام و کارايي مجزايي دارند که در قسمت نحوه کاشت ايمپلنت، توضيح جامعي را براي تمامي مراحل آن از زمان گرفتن نسخه براي راديوگرافي تا چسباندن دندان چيني ارائه مي دهيم. ايمپلنت از نظر ظاهري مشابه دندان طبيعي است و در دهان همان حس طبيعي را براي جويدن القا مي کند و سوء هاضمه ايجاد شده بر اثر ناتواني در جويدن غذا را برطرف مي کند.

انواع ايمپلنت دندان
در ادامه بهتر است بدانيد انواع ايمپلنت دندان کدامند؟ و از آن چه استفاده هايي مي شود؟ در طول تاريخ دو نوع مختلف وجود داشته است:
  • اندوستيال (endosteal)
  • ساب‌پريوستيال (subperiosteal)
ايمپلنت اندوستيال به ايمپلنتي گفته مي شود که درون استخوان قرار مي گيرد، اما ساب‌پريوستيال ايمپلنتي است که روي استخوان آرواره و زير بافت لثه قرار داده مي شود. امروزه ديگر از ايمپلنت هاي ساب‌پريوستيال استفاده نمي شود زيرا در مقايسه با ايمپلنت هاي اندوستيال در بلند مدت نتايج ضعيف تري داشته اند و استحکام کمتري دارند.

مزيت ايمپلنت نسبت به بريج
عدم استفاده از دو دندان سالم مجاور به عنوان پايه در ايمپلنت گذاري، زيرا در روش بريج استفاده از دو دندان مجاور به عنوان پايه، باعث آسيب به آن ها شده و در نهايت آن دندان هاي سالم نيز از بين خواهند رفت و فرآيند تحليل استخوان که با کشيدن دندان آغاز شده است، ادامه مي يابد. اما کاشت ايمپلنت، هم از آسيب به دندان هاي مجاور ممانعت مي کند و هم وجود فيکسچر در استخوان فک، پديده تحليل استخوان فک را به ميزان چشمگيري کاهش مي کند.

اما در بعضي موارد مراجعه ديرهنگام فرد براي کاشت دندان (ايمپلنت) يا وجود کيست و تومورهاي دهاني منجر به از بين رفتن فضاي مناسب و کم شدن قطر و ارتفاع استخوان فک مي شود که در اين حالت، دندانپزشک قبل يا همزمان با جايگذاري فيکسچر، با استفاده از پودر و بلاک استخواني و ممبرين (بايومتريال ها) استخوان را بازسازي کرده تا شرايط مناسب براي قرارگيري ايمپلنت مهيا گردد. در اين مواقع طول درمان بيمار (آماده شدن استخوان براي جايگذاري ايمپلنت) بسته به شرايط بيمار از 3 تا 6 ماه طول مي کشد و دندانپزشک به کمک عکس هاي راديوگرافي مي تواند روند درمان را دنبال کند و بهترين زمان را براي کاشت ايمپلنت تشخيص دهد.

ايمپلنت براي چه کساني مناسب نيست و ناموفق خواهد بود؟
  • در صورتي که سابقه انجام شيمي درماني يا راديوتراپي را داريد يا اينکه در حال حاضر اين درمانها را انجام مي دهيد، بايد بدانيد که احتمال موفقيت درمان کمتري داريد. موارد خاص پزشکي مانند ابتلا به پوکي استخوان و بيماريهاي مانند آن هنوز اطميناني حاصل نشده است و تاثير آن در کارکرد و ماندگاري آن مشخص نيست.
  • براي انجام اين جراحي سلامت لثه فرد مراجعه کننده بسيار مهم است و علاوه بر آن بايد استخوانهاي فک قدرت و انسجام کافي براي نگهداري آن را داشته باشند.
  • در بسياري از موارد اگر متقاضي از دخانياتي مانند سيگار استفاده کند، دندانپزشک از درمان خودداري مي کند، زيرا استفاده از اين مواد حتي سيگار باعث کاهش امکان موفقيت درمان مي شود.
  • در صورتي که بخواهيد تمام دندانها را به روش کاشت دندان جايگزين کنيد، در فک بالا به شش تا هشت و در فک پايين به چهار تا شش ايمپلنت نياز خواهيد داشت.
  • رعايت بهداشت عمومي دهان و دندان در بالا بردن عمر ايمپلنت تاثير بسياري دارد. ايمپلنتها طرح لبخند را بهبود بسياري مي بخشند.
  • در صورت استفاده از داروهايي که در آنها از مشتقات بيس فسفونات استفاده شده است، توصيه مي شود که از اين درمان استفاده نکنيد.

مراحل مراقبت و انجام ايمپلنت دندان
  1. پيش از انجام عمل بايد پوسيدگي دندان ها بررسي و رفع شود.
  2. براي قرارگيري ايمپلنت در دهان انجام حداقل يک جراحي ضروري است. در اين جراحي که به کاشت دندان نيز شهرت دارد، ايمپلنت در استخوان فک گذاشته مي شود.
  3. در چند ماه بعد از انجام جراحي پين تيتانيومي با استخوان فک ادغام مي شود.
  4. پس از مدتي و با مطمئن بودن از ادغام مناسب ايمپلنت و استخوان دندان، متخصص معالج مي تواند از ايمپلنتها به عنوان بيس استفاده کند و پروتز دندان را بر روي آنها نصب کند.
ايمپلنت

مزاياي ايمپلنت نسبت به درمان هاي ديگر
مزاياي مهم اين درمان عبارتند از :
  1. يکي از مزاياي مهم ظاهر بسيار زيبا و طبيعي آنهاست، ايمپلنت ها به دندان هاي طبيعي بسيار شبيه اند و از آنجا که در استخوان فک محکم مي شوند ماندگاري زيادي دارند.
  2. تاثير گذاري مثبت در گفتار بيمار از ديگر مزيت هاي ديگر آن هستند، دندان هاي لق با حرکت در دهان ممکن است موجب کاستن از کيفيت صحبت کردن افراد شود، و به شما اجازه مي دهد با اعتماد به نفس بيشتر و به بهترين شکل با ديگران ارتباط برقرار کنيد.مي توانند اعتماد به نفس شما را بسيار بالاتر ببرند و لبخند زيبا تري براي شما بوجود بياورند.
  3. به اين دليل که يک عضو ثابت هستند ناراحتي پروتز هاي متحرک را بوجود نمي آورند و جزئي از دهان شما خواهند بود.

هزينه ايمپلنت دندان
اين که هزينه ايمپلنت يا هزينه کاشت دندان چقدر است، سوالي است که تنها با ويزيت پزشک پاسخ داده مي شود. در نتيجه در ابتداي کار پاسخ به اين سوال بسيار پيچيده خواهد بود. دندانپزشک براي پاسخ به هزينه ايمپلنت دندان بايد نياز واقعي بيمار را ارزيابي کند و تنها در اين صورت قادر به براورد هزينه حقيقي ايمپلنت خواهد بود. اما بطور کلي بسته به نوع ايمپلنت و کمپاني سازنده، قيمت ايمپلنت دندان متغير هست.

اما قيمت ايمپلنت بستگي به عوامل بسياري دارد که از آن جمله مي توان به موارد زير اشاره کرد:

  • کيفيت، مقدار و محل استخوان: در صورتي که عرض و ارتفاع استخوان در محلي که قرار مي گيرد کافي باشد، نيازي به هزينه اضافي ايمپلنت نيست اما در صورتي که استخوان دچار تحليل شده باشد و يا شکل و اندازه آن کافي نباشد نياز به پيوند استخوان خواهد بود.
  • تعداد دندان هاي جايگزين شده و نوع پروتز: روكش، بريج ثابت، و پروتز متحرك مبتني بر ايمپلنت (كه اصطلاحا به نام over denture ناميده ميشود) از مواردي هستند که ميتوانند براي جايگزيني دندانها ساخته شوند. بسته به اينكه كداميک از اين پروتزها ساخته شود، قيمت آن متفاوت خواهد بود. پروتز متحرک از نوع ثابت کم هزينه تر است. در نتيجه هزينه ايمپلنت به اين موارد نيز بستگي دارد.
  • نوعي ايمپلنتي که مناسب شما خواهد بود: ايمپلنت هاي استاندارد بين 3 تا 6 ميلي متر قطر و 6 تا 14 ميلي متر طول دارند انواعي از ميني ايمپلنت وجود دارند كه حدود 2 ميلي متر قطر دارند و گاهي اوقات براي جايگزيني دندان بسيار کوچک يا در ترکيب با يک گروه براي حمايت از پروتز متحرک مي توانتد مورداستفاده قرار بگيرند. هر کدام از اين انواع به قيمت ايمپلنت دندان تاثير مي گذارند.
  • برند ايمپلنت: رندهاي مختلفي از ايملپنت دندان وجود دارد که هر کدام هزينه مختلفي دارند. براي مثلا ايمپلنت آمريکايي، ايمپلنت سوئيسي، ايملپنت آلماني، ايمپلنت فرانسوي، ايمپلنت چيني و … هر کدام قيمت هاي مختلفي دارند. براي اينکه بدانيد کدام نوع ايمپلنت مناسب شما است ابتدا بايد توسط متخصص ايمپلنت دندان ويزيت شويد.

کلینیک دکتر مژده احمدی

کلینیک دندانپزشکی دکتر مژده احمدی یکی از مجهزترین مراکز در همدان در بخش های تخصصی ارتودنسی، ترمیمی و زیبایی، ایمپلنت، پروتزهای دهان و دندان، درمان ریشه دندان، دندانپزشکی کودکان و نوجوانان و تشخیص و آسیب شناسی بیماری های فک و دهان همه روزه در خدمت مراجعه کنندگان گرامی می باشد. کلینیک دندانپزشکی دکتر مژده احمدی با هدف خدمتگذاری، این افتخار را دارد که در این سال‌ها با ارائه بهترین خدمات توسط بهترین دندانپزشکان همدان همواره لبخند رضایت را بر لبان مراجعین خود بنشاند.

دانلود اپلیکیشن

دانلود اپلیکیشن

اپلیکیشن کلینیک من، با قابلیت نوبت دهی انلاین

logo
map

آدرس: پیاده راه بوعلی روبروی مرکز خرید شهر ارا جنب مطب دکتر اسلامپور طبقه اول

تلفن تماس: 081-32516883

تمامی حقوق این وب سایت متعلق به کلینیک دکتر مژده احمدی است.