نوبت گیری اینترنتی

ایجاد حساب کاربری
قبلا ثبت نام کرده اید؟ وارد شوید / فراموشی رمز عبور
فراموشی رمز عبور
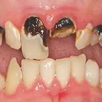
لمينيت دندان چيست؟

در تعريف، لمينيت يک لايه تزئيني است که سطح شي ديگري را مي‌پوشاند. در اصل، ونير‌هاي دنداني اينگونه عمل مي‌کنند. آنها مي‌توانند از انواع مختلفي از مواد مانند رزين يا چيني تهيه شوند. روکش‌هاي لمينيت با نام ونير چيني نيز شناخته مي‌شوند. آنها نوع سنتي روکش‌ها هستند. گذشته از آن، ضخامت آنها در حدود 0.7 ميلي متر است و اين نکته بسيار مهم است زيرا هم روش و هم کاربرد آنها را تحت تأثير قرار مي‌دهد. زماني که قطعات کوچک لمينيت روي دندان‌ها قرار مي‌گيرد، رنگ، شکل، اندازه يا طول دندان‌ها را به شرايط دلخواه فرد تغيير مي‌دهد. لمينيت‌ها علاوه بر فوايد زيبايي، فوايد ديگري نيز دارند که مي‌توان به افزايش استحکام دندان‌ها نسبت به ميناي دندان اشاره کرد و با پوشاندن ناهماهنگي و ساير عيوب دندان، رديف دندان‌ها را مرتب و يکنواخت نشان مي‌دهد. ونير ها را مي‌توان از مواد چيني و کامپوزيت ساخت. افراد روکش‌هاي چيني را ترجيح مي‌دهند زيرا در برابر لکه‌ها مقاوم تر هستند و خاصيت انعکاس نور آنها به دندان‌هاي طبيعي نزديک تر است. براي انتخاب مناسب ترين نوع ونير براي دندان‌هاي خود بايد با دندانپزشک خود مشورت کنيد.

لمينيت دندان مي‌تواند نتايج زيبايي قابل‌توجهي ارائه‌دهد اما ممکن است در کنار آن دچار عوارض لمينيت دندان شويد. بنابراين مهم است که از عوارض و خطرات احتمالي مرتبط با اين روش از طريق ارتباط با دندانپزشک آگاه باشيد. در سايت دکترتو امکان دريافت نوبت حضوري و مشاوره آنلاين با بهترين دندانپزشکان کشور براي شما فراهم شده است. در ادامه اين مطلب همراه ما باشيد تا به بررسي دقيق‌تر معايب لمينيت دندان بپردازيم.

خطرات و عوارض روکش هاي چيني يا لمينيت عبارتند از:

  • غير قابل برگشت
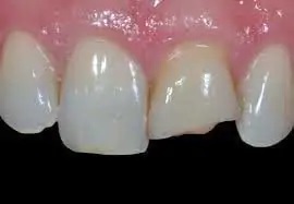
    لمينيت ها قابل جابجايي نيستند، آن ها را با اين هدف قرار مي دهند که هرگز از دندان جدا نشوند. مسلما اکثر افرادي که ونيرها را انتخاب مي کنند به دنبال راه حلي دائمي براي مشکلات زيبايي خود هستند. پس مهم است بدانيد که نمي توانيد آن ها را برداريد و به حالت اول برگرديد. هنگامي که لمينيت دندان مي گذاريد، هميشه آن ها روي دندان هاي شما قرار دارند و ديگر قابل بازگشت نيستند.در لمينيت مقدار کمي از دندان در حد 0.3 تا 0.5 ميليمتر از سطح قدامي دندان تراش مي خورد در واقع درمان غير قابل برگشت پذيري مي باشد و به حالت اوليه قابل بازگشت نمي باشد
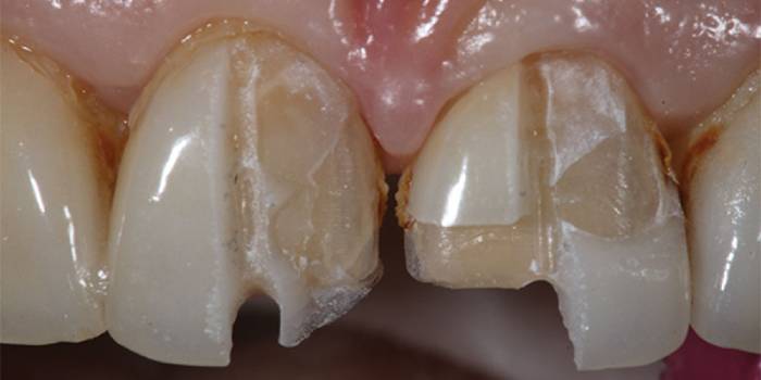
  • تراشيدن دندان
    تراشيدن دندان يکي ديگر از عوارض و معايب لمينيت دندان است. تقريبا در همه موارد به ميزان کمتر يا بيشتر، سطح جلوي دندان شما بايد سوهان زده شده و مقداري از ميناي دندان شما جدا شود تا راه براي روکش باز شود. حتي روکش‌ هاي «مينيمال آماده‌ سازي» يا «بدون آماده ‌سازي» معمولا نياز به سوراخ ‌کاري دندان دارند.
    لمينيت
  • ترک خوردن لمينيت
    هنگامي که شما نوشيدني يا غذاهاي سرد و گرم مصرف مي کنيد، دندان ها کمي منبسط و منقبض مي شوند. اين تغييرات حرارتي به طور بالقوه باعث ترک خوردن روکش در طي ساليان متمادي مي شود. اگر ضخامت سيمان از خود روکش بيشتر باشد، انقباض پليمريزاسيون (کوچک شدن مواد در حين گيرش) گاهي اوقات باعث ترک خوردن لمينيت نازک مي شود.
    لمينيت
  • پوسيدگي
    پوسيدگي يکي ديگر از عوارض و معايب لمينيت دندان است. در حالي که پرسلن يا مواد پرکننده پوسيدگي ندارند، همچنان ممکن است پوسيدگي دندان در اطراف لبه هاي روکش ايجاد شود که در صورت عدم رعايت بهداشت دهان و دندان منجر به افتادن روکش مي شود.
    لمينيت
  • شکستگي لمينيت دندان
    شکستن لمينيت دندان يکي ديگر از عوارض و معايب لمينيت دندان است. در صورتي که نيش نامطلوب (لبه به لبه) داشته باشيد يا دندان هاي خود را بساييد احتمال شکستگي بيشتر است. اگر شما يک بروکسيست هستيد، استفاده از آتل براي محافظت از روکش ‌هاي شما بسيار مهم است. ساير شکستن هاي لمينيت ممکن است هنگام جويدن مواد غذايي سفت مانند هسته هاي زيتون، دانه ها يا آجيل اتفاق بيفتند، بنابراين بايد بيشتر مراقب باشيد.
    لمينيت
  • لکه گيري لمينيت
    در حالي که لمينيت ها نسبت به باندينگ‌ هاي دندان يا مواد پرکننده سفيد در برابر لکه مقاوم ‌تر هستند، لکه ‌گيري همچنان مي ‌تواند يک مشکل باشد. طبق يک مطالعه بيش از 10 سال، اکثر مردم 80 تا 100% مواقع از زيبايي شناسي راضي هستند. 92 درصد ونيرها در 5 سالگي و 64 درصد در 10 سالگي قابل قبول تلقي شدند. با مشاهده اين نوع داده ‌ها و صحبت با افرادي که اين روش را انجام داده‌ اند، مي ‌توانيم ايده ‌اي از اين که چند سال آينده لمينيت ها ممکن است چگونه باشد به دست ‌آوريم. اهميت مراقبت، رژيم غذايي و تميز کردن دقيق لمينيت را نمي توان براي کمک به حفظ ظاهر زيباي روکش ها مورد تاکيد قرار داد. 28% از اين مشکلات در واقع قابل تعمير بودند، به اين معني که تنها 4% واقعا نياز به تعويض در يک دوره 10 ساله داشتند.
  • حساسيت
    حساسيت يکي ديگر از عوارض و معايب لمينيت دندان است. در صورت لزوم، دندانپزشک بايد تمام تلاش خود را براي حفظ حاشيه ها در ميناي دندان انجام دهد، اما گاهي اوقات رنگ يا موقعيت دندان ممکن است باعث شود که هنگام سوهان دندان کمي عميق تر و نزديک عاج برود. حساسيت به گرما و سرما ممکن است يک عارضه جانبي لمينيت باشد. اگر روکش ‌هاي موقتي قرار نگيرند، اين احتمال بسيار بيشتر است. اگر چه ممکن است با روکش‌ هاي نهايي نيز حساسيت اتفاق بيفتد، اما به طور کلي به ميزان کمتر اين احتمال وجود دارد. پس از نصب لمينيت هاي نهايي، انتظار مي رود اين حساسيت پس از حدود يک هفته از بين برود
  • ممکن است لمينيت دندان بيفتد
    به دلايل مختلف ممکن است لمينيت دندان جدا شود؛ از جمله: فرايند باندينگ، تناسب روکش، پوسيدگي، فشار ناشي از نيش شما، خرابي سيمان يا پرسلن و مراقبت نادرست. اگر اين اتفاق افتاد، روکش را نگه داريد و نزد دندانپزشک ببريد تا ببيند چه کاري مي تواند انجام دهد. دندانپزشکان مي توانند روکش و دندان شما را تميز کرده و دوباره آن را بچسبانند. اگر آن را گم کنيد يا آن را قورت دهيد، مطمئنا بايد يک روکش جديد ساخته شود.

روش نگهداري و مراقبت طولاني مدت از لمينيت دندان چيست؟
نگهداري و مراقبت بعد از لمينيت دندان براي اطمينان از دوام لمينيت دندان و حفظ ظاهر آنها ضروري است. در اينجا چند نکته کليدي براي نگهداري و مراقبت از لمينيت دندان آورده‌شده‌است:
  1. بهداشت دهان و دندان را به خوبي رعايت کنيد (به خصوص در لمينيت دندان براي افراد سيگاري)
  2. از محصولات ساينده دنداني خودداري کنيد.
  3. مصرف مواد لکه‌زا را به حداقل برسانيد.
  4. دندان‌قروچه (براکسيسم) را ترک کنيد.
  5. از گازگرفتن اجسام سخت خودداري کنيد.
  6. از معاينات منظم دندانپزشکي غافل نشويد.

سخن پاياني
لمينيت دندان يک عمل زيبايي محبوب است که مي‌تواند ظاهر دندان‌ها را به ميزان قابل توجهي بهبود بخشد. با‌اين‌حال، آگاهي از عوارض لمينيت دندان بسيار مهم است. با درک اين خطرات و انجام اقدامات پيشگيرانه، افراد مي‌توانند احتمال عوارض را به حداقل برسانند و از مزاياي طولاني‌مدت لمينيت دندان بهره‌مند شوند. در صورت بروز عوارض، توصيه مي‌شود که از دکتر دندانپزشک خبره استفاده کنيد که بتواند درمان مناسب را ارائه‌دهد و هر مشکلي را به طور موثر حل کند.

کلینیک دکتر مژده احمدی

کلینیک دندانپزشکی دکتر مژده احمدی یکی از مجهزترین مراکز در همدان در بخش های تخصصی ارتودنسی، ترمیمی و زیبایی، ایمپلنت، پروتزهای دهان و دندان، درمان ریشه دندان، دندانپزشکی کودکان و نوجوانان و تشخیص و آسیب شناسی بیماری های فک و دهان همه روزه در خدمت مراجعه کنندگان گرامی می باشد. کلینیک دندانپزشکی دکتر مژده احمدی با هدف خدمتگذاری، این افتخار را دارد که در این سال‌ها با ارائه بهترین خدمات توسط بهترین دندانپزشکان همدان همواره لبخند رضایت را بر لبان مراجعین خود بنشاند.

دانلود اپلیکیشن

دانلود اپلیکیشن

اپلیکیشن کلینیک من، با قابلیت نوبت دهی انلاین

logo
map

آدرس: پیاده راه بوعلی روبروی مرکز خرید شهر ارا جنب مطب دکتر اسلامپور طبقه اول

تلفن تماس: 081-32516883

تمامی حقوق این وب سایت متعلق به کلینیک دکتر مژده احمدی است.